A fogágybetegség kialakulásához sok esetben hozzájárul egy nem megfelelően elkésztett tömés, korona vagy híd. Annak érdekében, hogy a fogágyat és az ínyt kezelni tudjuk és gyulladásmentes állapotba hozzuk, szükséges ezek eltávolítása, ideiglenes pótlással történő helyettesítése.

A megfelelő végleges pótlás elkészítéséhez, a fogágy és implantátum körüli csont és íny gyógyuláshoz fontos a jól elkészített ideiglenes pótlás, mely az esztétikát és rágófunkciót is helyreállatja.

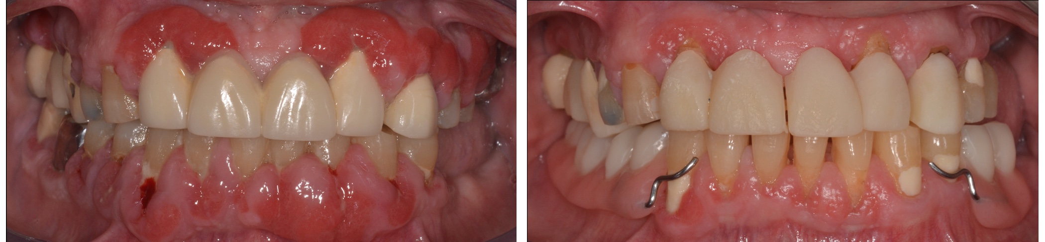
Hibásan elkészített hídpótlás miatt kialakult gyulladt íny
Ideiglenes pótlással gyógyult íny